Dental Bridges Treatment In Delhi

Dental Bridges Treatment In Delhi

Dental Bridges

Dental bridges are classified as fixed dental restorations, wherein a missing tooth is replaced by permanently joining an artificial tooth to nearby dental implants or natural teeth. They can be classified into different types mainly according to the way they are anchored to the teeth and also on the basis of fabrication modes. They can also be grouped as direct or indirect restorations. The indirect method of restoration is the most commonly used method of restoration. The prominent materials that are used for fabricating these structures include plain porcelain, and porcelain fused with metal or gold.

Bridges

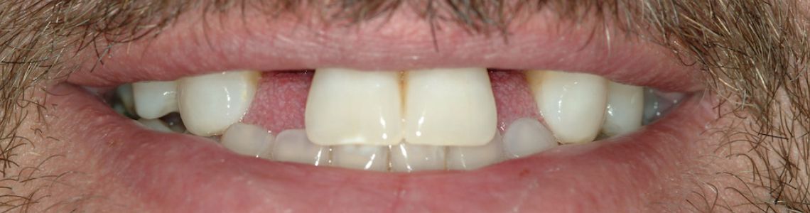
A bridge may be recommended if you’re missing one or more teeth. Gaps left by missing teeth eventually cause the remaining teeth to rotate or shift into empty spaces, resulting in a bad bite and irregular alignment. The imbalance caused by missing teeth can also lead to gum disease and temporomandibular joint (TMJ) disorders.

Bridges are commonly used to replace one or more missing teeth. Bridges are cemented to the natural teeth or implants surrounding the empty space. As with crowns, you have a choice of materials for bridges. Your dentist can help you decide which to use, based on the location of the missing tooth (or teeth), its function, aesthetic considerations, and cost. Porcelain or ceramic bridges can be matched to the color of your natural teeth.

Both crowns and most bridges are fixed prosthetic devices. Unlike removable devices such as dentures, which you can take out and clean daily, crowns and bridges are cemented onto existing teeth or implants, and can only be removed by a dentist.




Dental Crowns

A crown is a tooth-shaped cover placed over a tooth to restore it to functional capacity as it has been badly damaged or decayed. A crown is made to look like your tooth. Many people commonly refer to it as a CAP.

Crowns may be placed for several reasons. Usually, the tooth has been broken or damaged a great deal by decay. As a result, a filling can’t replace enough of the tooth or make the tooth strong enough. A crown may hold together parts of a cracked tooth. It also can be used to hold a bridge in place. Crowns can be used to improve appearance as well. They may be placed to cover misshapen or badly discolored teeth.

Dental Crown & Bridges

At Dental World we give wide choice to patients to select the kind of crown. The most popular is porcelain fused to the metal shell (PFM) for the front as well as back teeth. Pure ceramic is aesthetically more pleasing, so it’s the first choice for people who like to go for completely natural looks. PFM and all-ceramic crowns are tooth-colored, but pure ceramic is more cosmetically appealing and pleasant. Pure ceramic crowns can be of 3M ESPE’s LavaT Zirconia, e.max, and Nobel Procera.




Dentures

Losing your natural teeth can be a traumatic experience. Whether young or old, the impact of tooth loss is likely to directly affect ones lifestyle and confidence. Eating out, socializing or simply smiling can becomes a cause for embarrassment rather than joy.

A solution to this problem is dentures. Times have changed and so have dental practices. Research has led to the development of aesthetically pleasing, functional and comfortable dentures.

Modern Dentures

Dentures are prosthetic dental appliances constructed to replace missing teeth. Unlike dental bridges and dental implants, which are permanently attached to the bone, dentures are attached to a supporting structure.This makes them removable and easier to clean and maintain.

TYPES OF DENTURES

There are different types of dentures :

  1. Complete or full dentures are for those patients who have lost all of their teeth on either or both of the arches. These take some time to get used to as their adjustment depends on a number of factors like the oral cavity muscles, saliva, bone & tongue.
  2. Removable or partial dentures are used to correct gaps when only few of the teeth are missing. Partial dentures help in maintaining tooth alignment by preventing the other natural teeth from shifting out of position. They also help to prevent further tooth loss and the occurrence of other periodontal disease



Flexi-Dentures

Flexible dentures are a kind of partial denture, but these ones are made of different materials than ordinary dentures. Most flexible dentures are made of a thin thermoplastic such as nylon, compared to the thicker, more rigid acrylic used in full dentures.

You may find that flexible partial dentures are a more comfortable fit than other removable partials, especially if you’re still new to wearing replacement teeth. Not only that, but most partial dentures are usually made with metal parts which can sometimes show. Flexible dentures do not use any metal parts so tend to look and feel more natural.



DENTAL WORLD ~ Centres Of Dental Excellence