Oral Surgery In Delhi
Oral Surgery or Maxillofacial surgery is a wide area that focuses not only on surgery and diagnosis of diseases but also on some defects and injuries that are associated with the face, cheekbone, forehead, mouth, teeth, and jaws.
Oral surgery is also performed to repair birth defects such as cleft lips and palette, jaw realignment, facial reconstruction of the mouth and face, dental implants, removal of benign cysts and tumors, biopsy of tissue, and removal of oral cancer. The most common forms of oral surgery done by oral surgeons are wisdom tooth extraction, extraction of damaged teeth that cannot be repaired, apicoectomy, frenectomy, biopsy, jaw surgery, trauma surgery, bone grafting, and dental implants.
Wisdom tooth extraction
The wisdom tooth is the last tooth to erupt. When the gums are healthy and the alignment of teeth are proper then there is no need to remove the wisdom teeth. But usually, the removal of wisdom teeth becomes a necessity when they are unable to erupt properly. Impacted wisdom teeth can cause problems like bacterial growth, causing infection resulting in pain, swelling, and illness.
Tooth extraction surgery is done on impacted or cracked wisdom teeth or other teeth that have been damaged and become irreparable because of the decay of teeth, root fractures or trauma, or accidents. It is also required when milk teeth are still in place and are preventing the permanent teeth from erupting.
Dental implants
Dental implants have nowadays become very popular. In this procedure the missing tooth is replaced with an artificial one or stability is provided for the existing denture. During dental implant, a small titanium screw is used for replacing the portion of the root of the missing tooth. It can be placed on the upper as well as lower jaw wherever required.
Sinus Lift Surgery
Sometimes the roots of the natural teeth extend up into the maxillary sinuses. When these upper teeth are removed, there is often just a thin wall of bone separating the maxillary sinus and the mouth. In such cases, it is difficult to place a Dental Implant because Dental implants need bone to hold them in place.

There is a solution and it’s called a sinus graft or sinus lift graft. The dental implant surgeon enters the sinus from where the upper teeth used to be. The sinus membrane is then lifted upward and donor bone is inserted into the floor of the sinus. After healing, the bone becomes part of the patient’s jaw, and dental implants can be inserted and stabilized in this new sinus bone.
Bone Grafts
Most dental bone grafting procedures are done to restore your bone to its previous form following tooth loss, gum disease, or trauma. Bone grafting may also be used to maintain bone structure after tooth extraction.
Bone grafting is a safe and highly successful procedure that involves the “building up” or adding bone to the jaw by using your own natural bone from another location and/or by using donor, processed, or synthetic bone materials. This additional bone provides support for Implants and another prosthesis.
Apicoectomy
Apicoectomy is also called root-end surgery and is performed by an oral surgeon. Apicosectomy may be required if infection or inflation of tissues present within the roots continues even after the root canal treatment. In this procedure, the oral surgeon removes the apex i.e. the root tip, and further adopts the filling procedure to seal the roots. If the treatment is not done in time then in such cases infection may spread and damage the other healthy teeth as well.
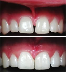
Frenectomy
Frenectomy is an oral surgery that helps in the removal or relaxing of the frenulum i.e. the small fold of muscle tissue that prevents the connected organs from moving far. This surgery is performed under the effect of local anesthesia. The surgeon uses a laser or scalpel to remove the frenum.