General Dental Treatment In Delhi

General Dental Treatment In Delhi

As dentists, we believe prevention is always better than cure and will always encourage and help you to look after your teeth so you don’t develop tooth decay in the first place. Routine dental appointments are essential to maintain good oral health and a happy smile. A standard dental check-up is carried out by an experienced, qualified dentist and is the best way to spot any problems with your mouth before they become serious. Both adults and children require routine dental appointments on a regular basis because preventative dentistry is the key to keeping your mouth healthy.

WHAT HAPPENS AT A ROUTINE DENTAL CHECK-UP?

If it is your first appointment at the practice, your dentist will take a full dental and medical history. They will also:

  1. Thoroughly examine your teeth, gums, and mouth.
  2. Take X-rays if necessary.
  3. Discuss any dental problems you may have had since your last visit.
  4. Discuss general health and dietary issues that can affect your teeth and gums – such as alcohol consumption or smoking.
  5. Discuss your teeth-cleaning habits, such as brushing technique, and recommend any improvements such as interdental brushes or flossing as required.
  6. Explain any further treatment you may need, such as fillings, root canal treatment, or scaling appointments.
  7. Provide you with a full treatment plan.
  8. Answer any questions you may have regarding your treatment and what options are available.
  9. If you require no other treatment, your dentist will let you know when you should come for your next routine check-up.

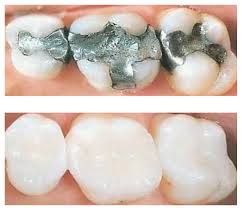
Dental Fillings

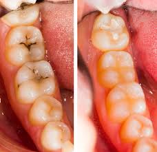
Tooth decay is a very common dental problem. Thimages-6e cavities formed as a result of bacterial infection are cleaned and filled with suitable dental material. The most common material of choice is a white-colored filling. The new filling is made from a very hard substance and will withstand the forces in your mouth when you bite and chew over a long period of time.

Jaw Problems (TMJ disorders)

Temporomandibular joint and muscle disorders (TMJ disorders) are problems that affect the chewing muscles and joints that connect your lower jaw to your skull. If your teeth in the upper and lower jaw don’t fit together properly, you could have malocclusion or ‘bad bite’, which can cause problems with your teeth, gums, the temporomandibular joint (TMJ), and the muscles in your face.

Dr.Akshay Sur specializes in treating TMJ disorders. He has a post-doctorate in Oro Facial pain & Oral medicine from USA.

Some common causes of TMJ disorders are-

Clenching or grinding of teeth at night or in stress

Orthodontic treatment

Inaccurate dental fillings or ill-fitting crowns & bridges

Fractures, dislocations, Arthritis, birth defects.

This can lead to facial pain, headaches, discomfort and clicking when biting or chewing, migraines as well as neck and shoulder pain, and even back pain. The important thing to do is see your dentist as soon as possible so your problem does not become worse over time and requires more drastic measures to correct.

Sensitive teeth

Do you feel a shooting pain in your teeth when eating or drinking something hot? Does the thought of biting into ice cream or a cold hard apple make you wince? Sensitive teeth can be a burden for many people and can be caused by several things. It is always important to seek advice from a dental professional so the source of the problem can be identified and treated.

Sensitive Teeth Diagram

Tooth sensitivity is caused by the stimulation of cells within tiny tubes located in the dentin (the layer of tissue found beneath the hard enamel that contains the inner pulp). When the hard enamel is worn down or gums have receded-causing the tiny tube surfaces to be exposed-pain can be caused by eating or drinking food and beverages that are hot or cold; touching your teeth, or exposing them to cold air.

One cause of sensitivity is dental erosion, which is the loss of tooth enamel. Enamel is the hard outer coating of a tooth, which protects the sensitive dentine underneath. If the enamel is worn away or eroded, this dentine is exposed which can lead to pain and sensitivity, which can be worsened with extreme temperatures. Erosion can be caused by your diet (frequent consumption of high sugar or high acid food or drink), tooth brushing habits (brushing too hard), tooth grinding, certain medical conditions, and eating disorders.

At Dental World we use state-of-the-art materials and techniques for the treatment of sensitive teeth.

Emergency dental care

Oral injuries are often painful and should be treated by a dentist as soon as possible. Injuries to the mouth may include teeth that are knocked out (avulsed), forced out of position, and loosened (extruded) or fractured. In addition, lips, gums, or cheeks are often cut.

Sometimes patients experience excruciating pain in their teeth in the middle of the night when it is difficult to reach a dentist. At Dental World we have a 24-hour Emergency helpline to help out patients. Patients can call 9910544321 and 9810544321 for assistance.



DENTAL WORLD ~ Centres Of Dental Excellence